Humble Dentistry
80 Wilson Road, Suite C
Humble, TX 77338

Clear Correct Gap Closure

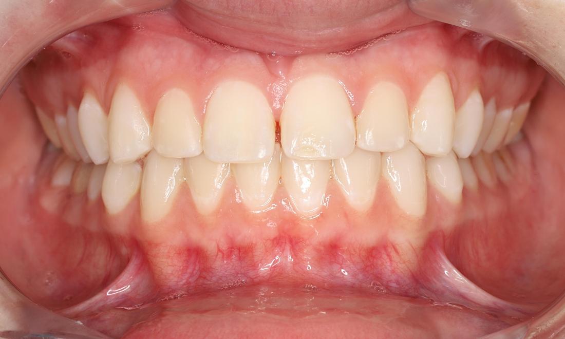
Our patient had a small gap between her front teeth. She had orthodontic treatment in the past, but didn't wear her retainer and the teeth moved. We discussed the options of direct tooth colored filling material to close the space versus Clear Correct (clear aligners) orthodontics to close the space. She ultimately opted for Clear Correct orthodontics to close the space because it didn't require any shaving down of the teeth. A bonded (glued on) retainer was placed on the back side of the teeth to hold them in the desired position at the end of treatment. The outcome was achieved with four aligner trays worn for two weeks each over an eight week period. 

Service Performed By:

Robert Appel, DMD
Ready to book an appointment?
If you have difficulty using our website, please email us or call us at (281) 446-2362