Humble Dentistry
80 Wilson Road, Suite C
Humble, TX 77338

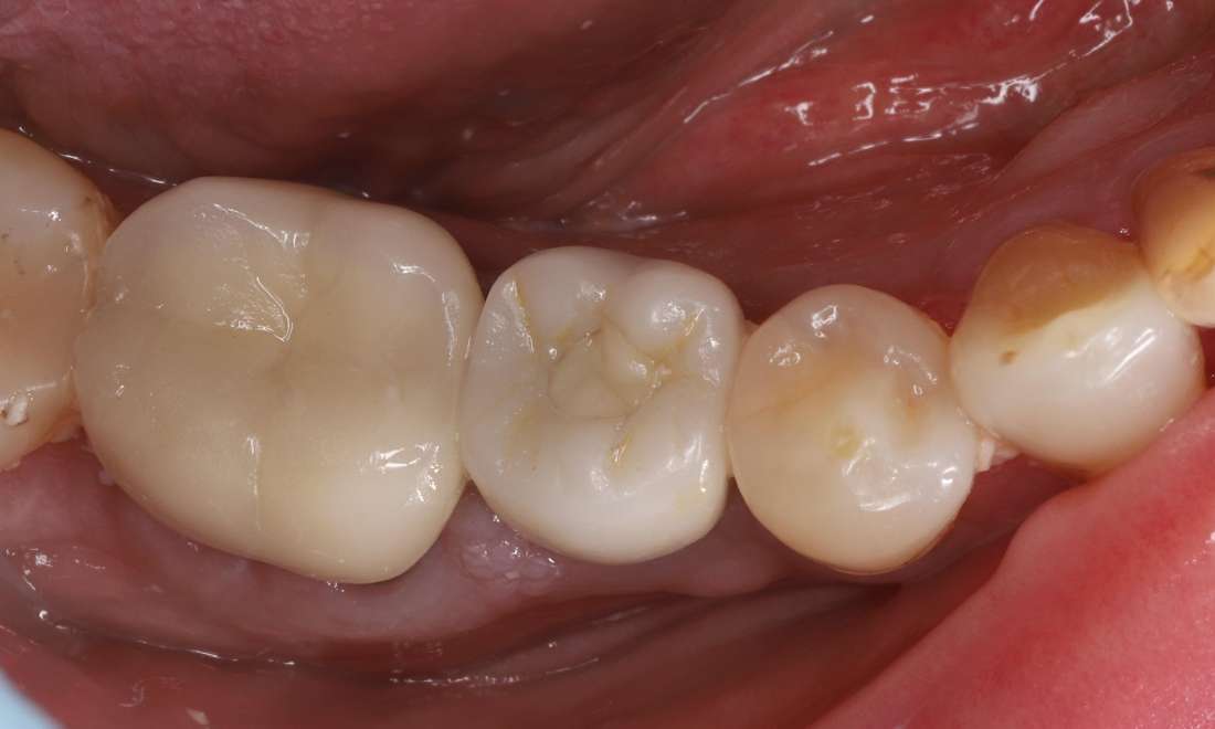
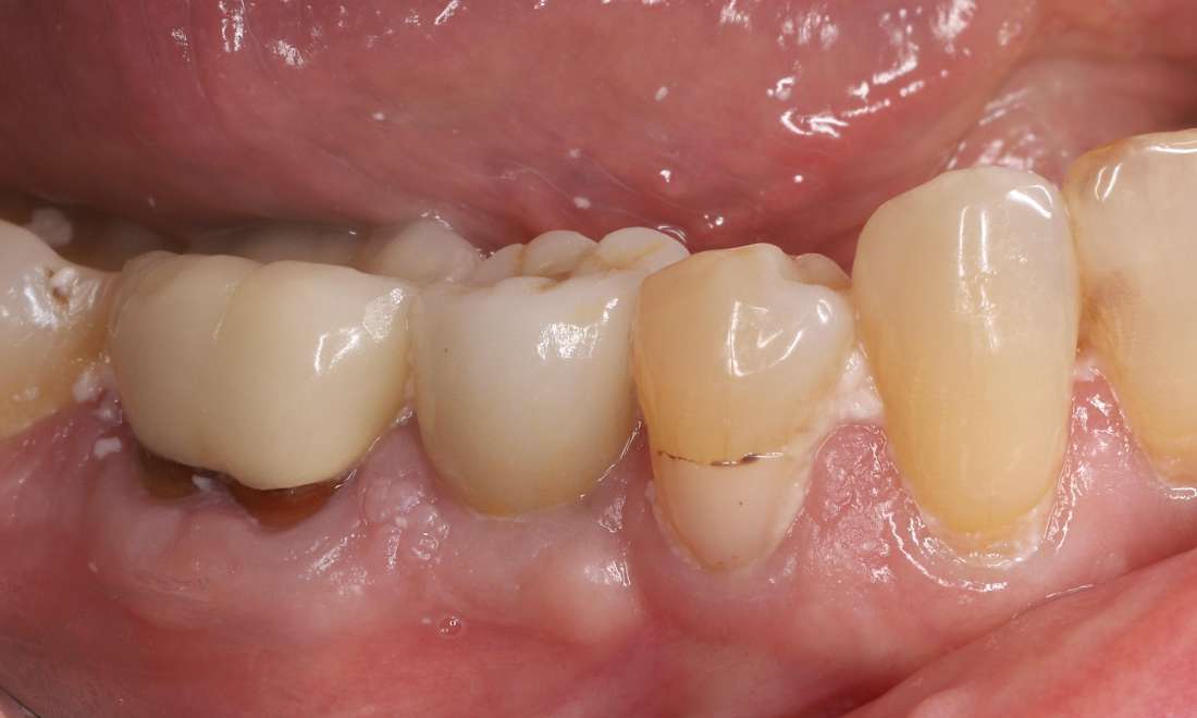
Immediate Single Tooth Implant

A long term patient of our practice broke the crown off an endodontically treated tooth and unfortunately the tooth was non-restorable. 

We were able to place a dental implant at the same time we removed the tooth (immediate dental implant). After four months of healing we made a temporary crown to create an ideal shape to the gums around the implant. Shaping the gum tissue helps to minimize getting food trapped around the implant and guides the laboratory on how to shape the final crown. 

The final restoration was custom ceramic crown fitted to a custom gold-hue titanium abutment. The final photos are one year after the treatment was completed showing excellent maintenance of the soft tissue contour. 

Service Performed By:

Robert Appel, DMD
Yukie
Improve your smile today – call to schedule a consultation!
If you have difficulty using our website, please email us or call us at (281) 446-2362