Humble Dentistry
80 Wilson Road, Suite C
Humble, TX 77338

Upper Crowns and Veneers, Lower Direct Composite Veneers

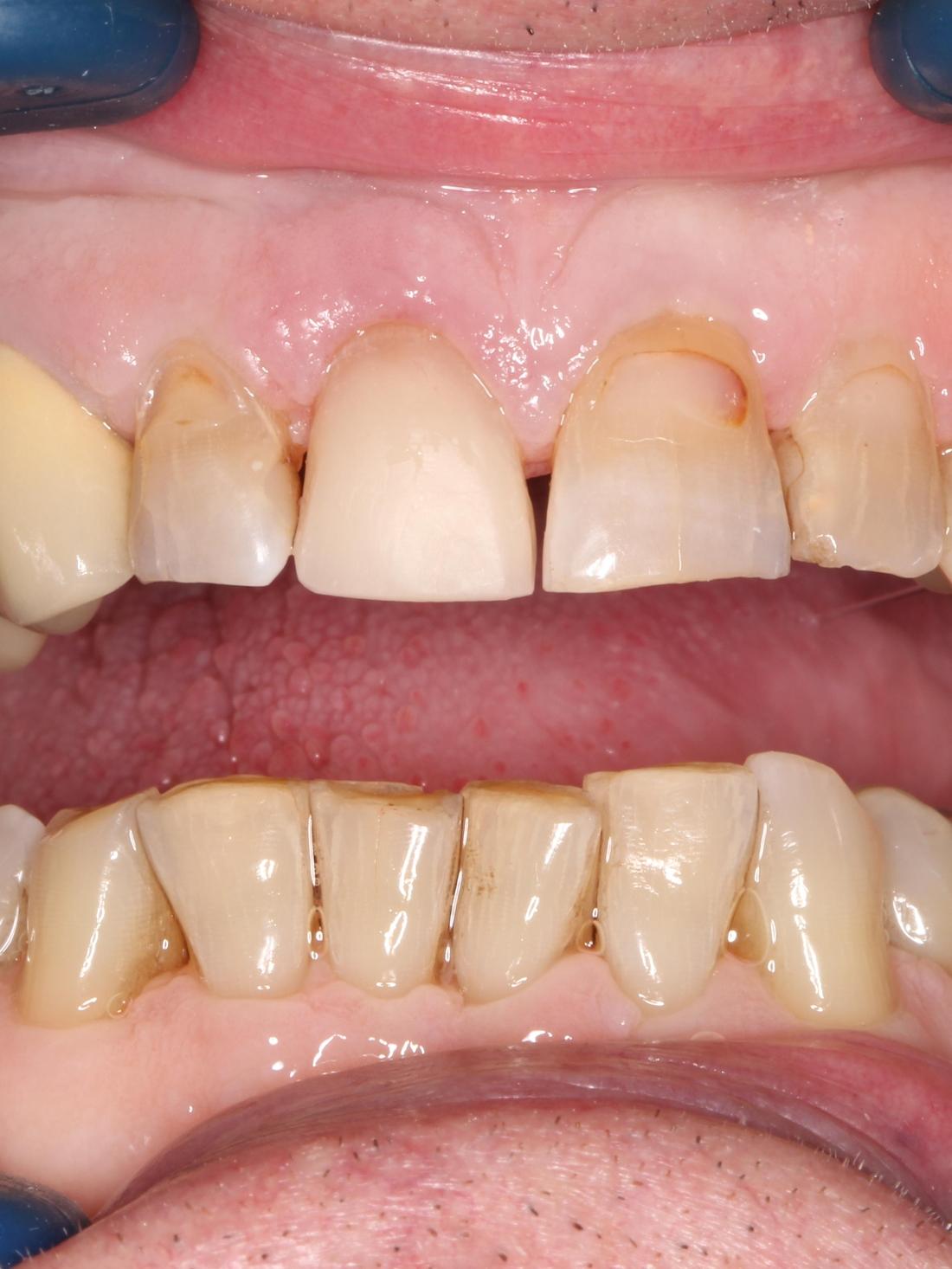
Our patient was looking to rejuvenate his smile after many years of fillings, wear, and chipping of his front teeth. Our challenge was to match new crowns and veneers to an existing bridge. 

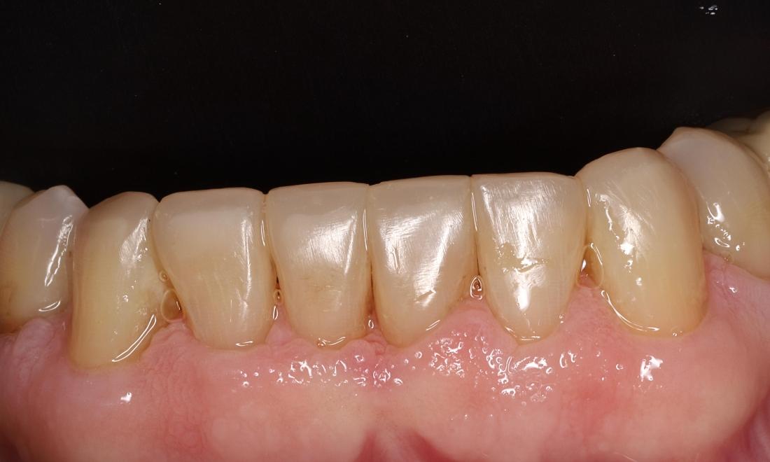
We started by making a 3D printed digital prototype to simulate the final desired outcome. Then based on the 3D digital prototype, we reshaped and rebuilt the lower front teeth with direct composite veneers This created the space we needed to make crowns and veneers on the upper front teeth. The top and bottom teeth need to work together in harmony and frequently cosmetic treatment on the top teeth require adjustments to the bottom teeth. 

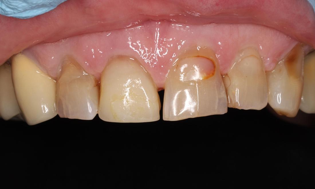
After restoring the bottom front teeth, we used the 3D printed digital prototype as our template for making the final crowns and veneers on the upper front teeth. We were able to use our new Trios 3 digital intra-oral scanner to scan the teeth for the final crowns and veneers and avoided the need for traditional goopy impressions. 

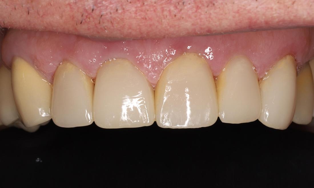
The final dental crowns and veneers were bonded to the upper front teeth and a final scan was made for a nightguard to protect the new teeth. 

Service Performed By:

Robert Appel, DMD
Yukie
Getting an appointment is fast and easy!
If you have difficulty using our website, please email us or call us at (281) 446-2362