Humble Dentistry
80 Wilson Road, Suite C
Humble, TX 77338

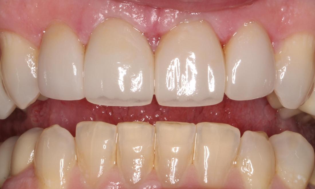
Two Ceramic Crowns and Two Ceramic Veneers

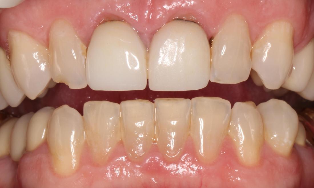
Many years ago porcelain fused to metal (PFM) crowns were the only cosmetic crown option available. PFM can be a very successful crown option, but one of the problems with them is the appearance of a dark line where the crown meets the tooth. The dark line can be due to metal showing, from a lack of translucency (light can’t pass through the metal), or from new decay along the edge of the crown.

 

Our patient had porcelain to metal crowns on his two front teeth and didn’t like the dark appearance where the crowns were meeting his teeth. He also chipped the edge of his right lateral incisor and had worn the edge of his left lateral incisor. We discussed replacement of the existing crowns with an all-ceramic material and the addition of ceramic veneers on the lateral incisors to create a more uniform appearance.  

Service Performed By:

Robert Appel, DMD
Yukie
Have Questions? Get in Touch
If you have difficulty using our website, please email us or call us at (281) 446-2362