Humble Dentistry
80 Wilson Road, Suite C
Humble, TX 77338

Custom Take Home Tooth Whitening Trays

We offer three different levels of professional tooth whitening in our practice including: 

  • In-office whitening with Opalescence Boost (40% strength)
  • Custom take-home whitening trays with Opalescence (range of strength from 10-35%)
  • Pre-loaded Opalescence Go whitening trays (10-15% strengths)

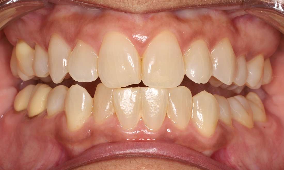
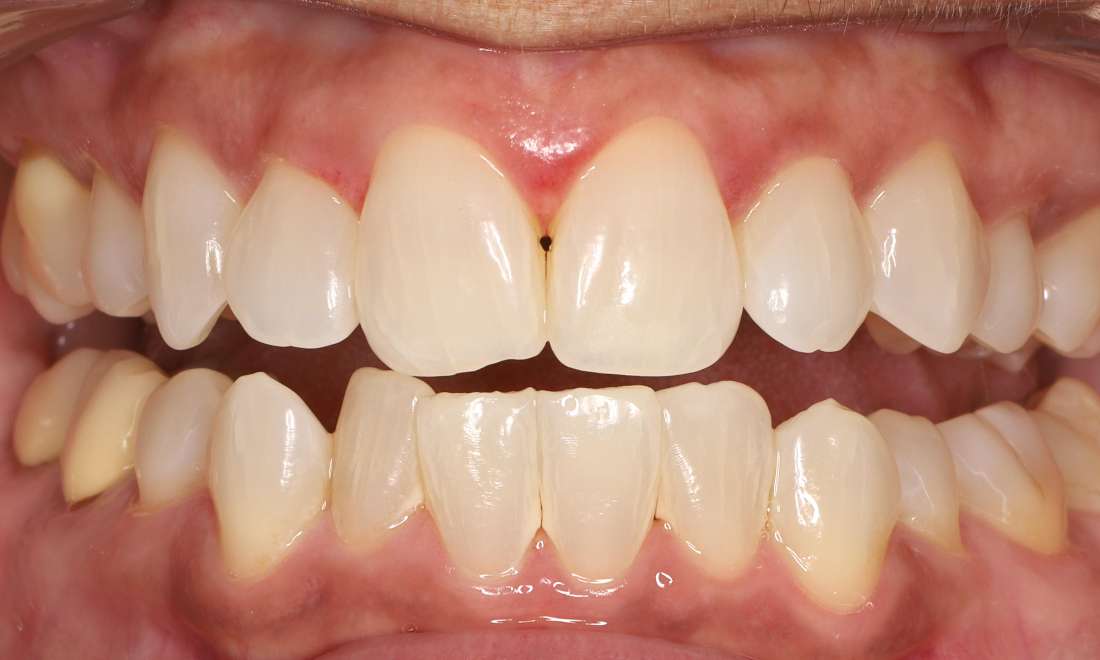
Most whitening products will improve the color of the teeth. The stronger the concentration of the whitening product, the faster the results, but also the higher the risk of sensitivity. 

For this patient we used a 20% strength Opalescence gel in a custom take-home whitening tray. This offered a good balance between the risk of sensitivity and the desired color improvement, while also protecting the gums from excess whitening gel. 

To make the custom take home whitening tray, we used our 3Shape Trios intra-oral scanner to create a digital model of the patient's mouth while she was in for a routine preventive visit. We then printed the models on our Sprint Ray Pro55 3D printer and designed the custom take-home whitening trays. 

The patient was able to tolerate wearing the trays every other night for several weeks and achieved a 3-4 shade improvement in tooth color. 

Not finding what you need?
If you have difficulty using our website, please email us or call us at (281) 446-2362