Humble Dentistry
80 Wilson Road, Suite C
Humble, TX 77338

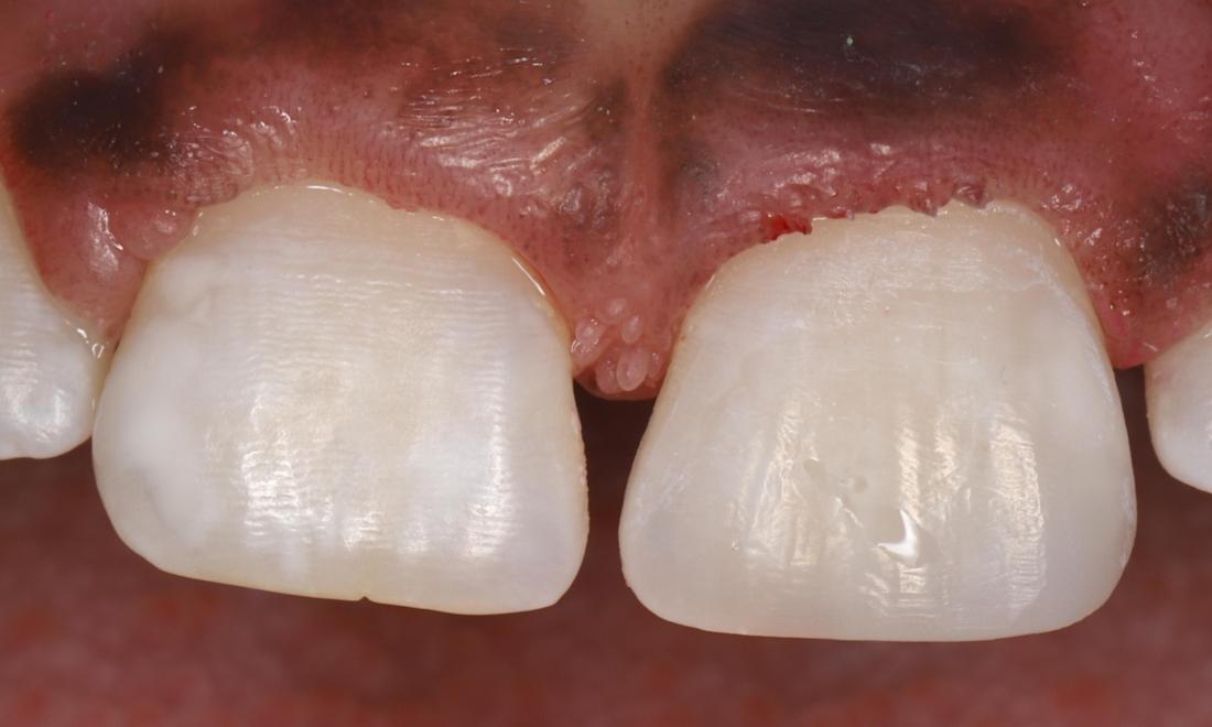
Chipped Front Tooth Repaired with Tooth Colored Filling

This new patient was getting ready for her senior pictures and came to us with a chipped front tooth. The fracture included the hard outside enamel and the softer dentin on the inside of the tooth, but thankfully the nerve was not exposed and there was no pain. 

We scanned her teeth with our 3Shape Trios scanner to create a digital model of her mouth. We then sent the scans to our lab partners at Keating Dental Lab. They were able to digitally repair the broken tooth by making a mirror image copy of the unbroken adjacent tooth. Keating Dental Lab then sent us back the digitally repaired model of the her mouth and we 3D printed the model using our SprintRay Pro55 3D printer. We then used the model as a template for repairing the tooth in the mouth. 

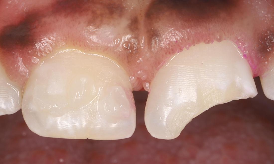
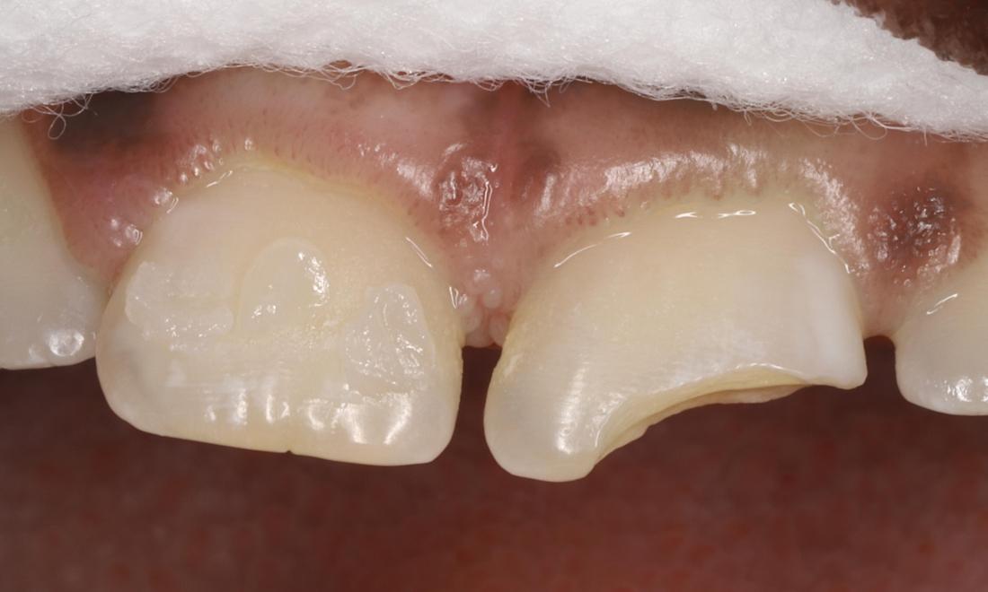
In the mouth, a bevel was placed in the enamel on the front of the tooth. This gives more surface area for bonding and allows for better blending of the tooth colored filling material to hide the fracture line. Several different colors of tooth colored filling materials were layered to mimic the natural layers of the tooth, giving a more ideal match. 

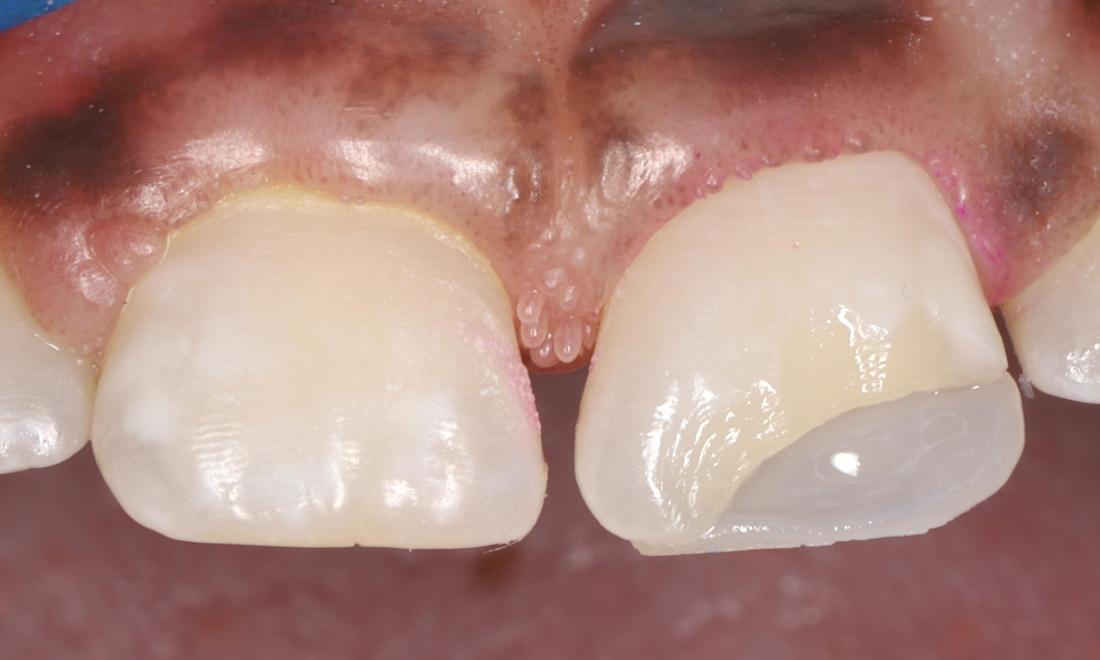
After final shaping and polishing the patient was all smiles and ready for her senior pictures!

Learn more about our technology to make your visit more comfortable

 

Service Performed By:

Robert Appel, DMD
Have Questions? Get in Touch
If you have difficulty using our website, please email us or call us at (281) 446-2362