Humble Dentistry
80 Wilson Road, Suite C
Humble, TX 77338

Clear Aligners Before a Crown Replacement

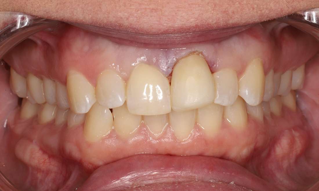
Before visiting our practice, this patient had undergone "instant orthodontics" with a single crown on her front tooth in an attempt to correct the alignment of her teeth. While the color match of the crown was pleasing, a significant amount of tooth structure had been removed. Additionally, the adjacent and opposing teeth remained misaligned, and the gum levels were uneven.

Eventually, the original crown debonded and fell out. At that point, we discussed using ClearCorrect aligners to improve the alignment of all the teeth, level the gum tissue, and even out the edges of the teeth. We also recommended a 3D-printed crown as an interim replacement. Once the teeth were aligned, we could then replace the 3D-printed crown with a lab-made ceramic crown for a more aesthetic result.

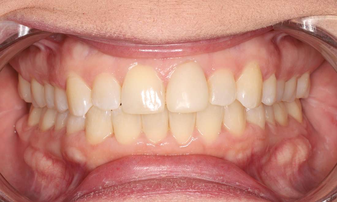
We began by creating a custom 3D-printed crown to match the position of the original tooth. Using our 3Shape intraoral scanner, we took a digital scan of her mouth and worked with ClearCorrect to develop a plan for aligning the teeth and gums. After approximately eight months of wearing the aligners, the patient was thrilled with the results and decided that the 3D-printed crown was a satisfactory match for her cosmetic goals at this time.

She continues to wear clear retainers nightly to protect the alignment of her teeth and will always have the option to upgrade the crown to ceramic in the future.

Are you looking for a minimally invasive option to improve the appearance of your smile?

Schedule an appointment with us to see if clear aligners are the right fit for your smile goals.

Service Performed By:

Robert Appel, DMD
Ready to book an appointment?
If you have difficulty using our website, please email us or call us at (281) 446-2362