Humble Dentistry
80 Wilson Road, Suite C
Humble, TX 77338

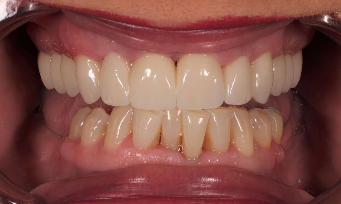
Upper Arch Reconstruction with Crowns and Bridges

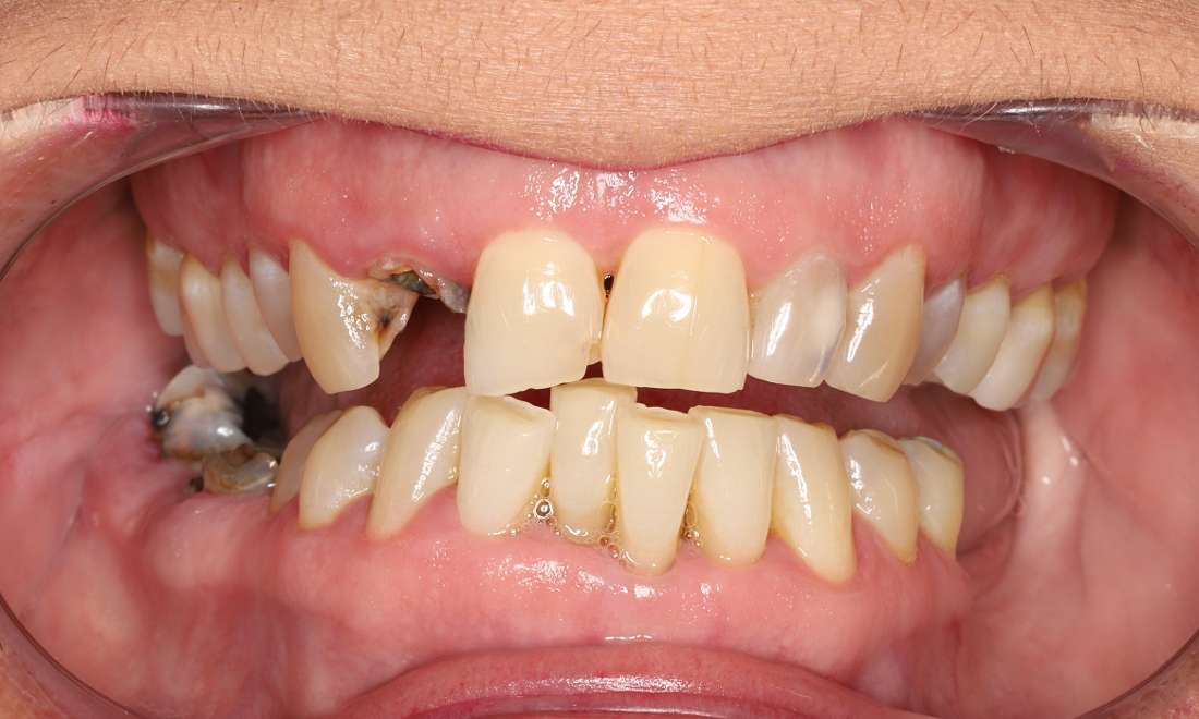
Dental anxiety prevented this wonderful patient from seeking our help until her pain was unbearable. Her anxiety was addressed with a combination of oral sedation, nitrous oxide, and our caring team focused on addressing her needs in a calm, comfortable environment.

Over several well-planned visits, we were able to remove hopeless teeth, complete initial gum disease treatment, complete root canals on teeth with pain and infection, and then make long term 3D printed temporary crowns and bridges to test out her newly established bite. Missing teeth on the lower arch will be replaced with dental implants in the future.

After several months of success with the 3D printed temporary crowns we made final scans of her teeth for Zirconia crowns to restore damaged teeth and Zirconia bridges to replace missing teeth. Her commitment to excellent home care with a powered toothbrush twice daily, daily flossing, and a prescription strength toothpaste has transformed her gum health. She can now smile confidently and chew comfortably. 

Service Performed By:

Robert Appel, DMD
Not finding what you need?
If you have difficulty using our website, please email us or call us at (281) 446-2362