Humble Dentistry
80 Wilson Road, Suite C
Humble, TX 77338

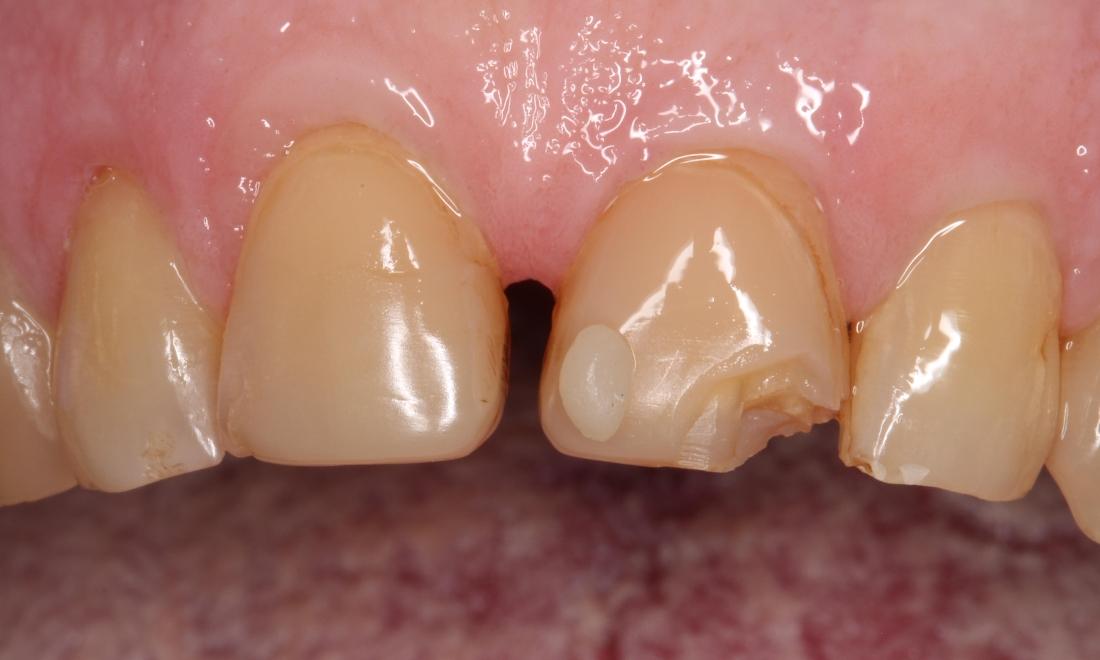
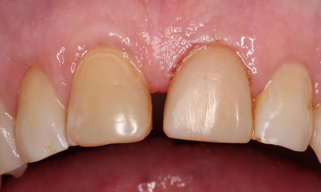
Composite Veneer

This patient had direct composite veneers on his front two teeth and unfortunately one of the veneers chipped. We removed the remaining veneer and replaced it with a new direct composite veneer. We had him smiling again after just a few minutes in the chair!
Have Questions? Get in Touch
If you have difficulty using our website, please email us or call us at (281) 446-2362