Humble Dentistry
80 Wilson Road, Suite C
Humble, TX 77338

Composite

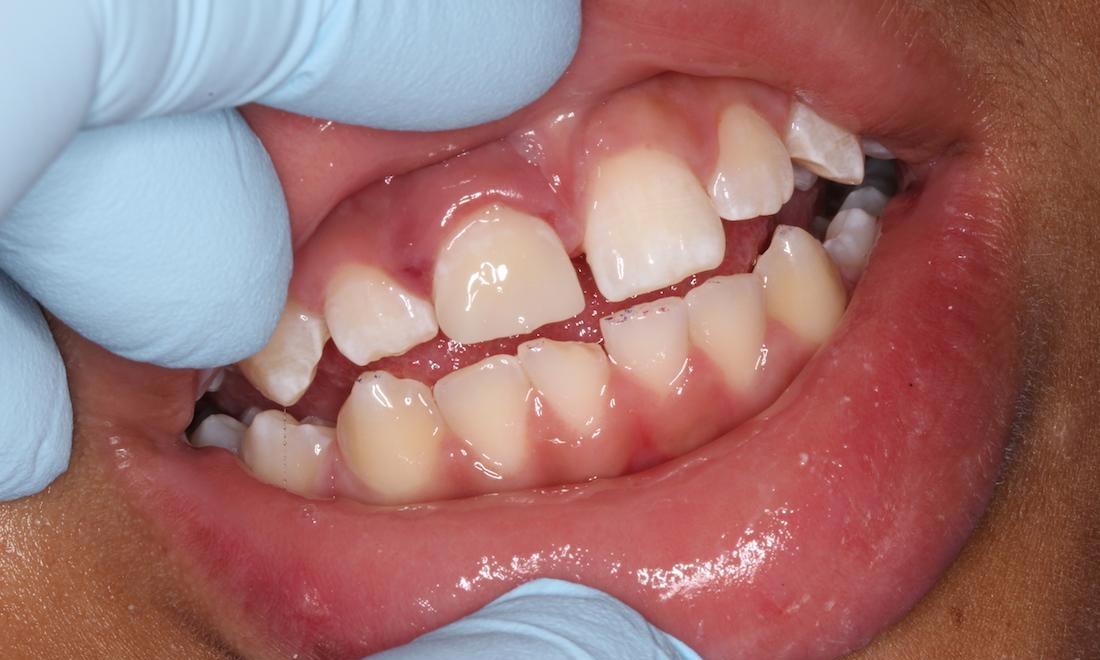
Oops! This young patient fell out of bed and chipped his front tooth. After isolating the tooth with a dental dam, we roughened the tooth up and smoothed the chipped area before rebuilding the chip with white composite filling material. Composite can be an excellent material because it can easily be repaired if he ever chips the filling or tooth again.
Have Questions? Get in Touch
If you have difficulty using our website, please email us or call us at (281) 446-2362