Humble Dentistry
80 Wilson Road, Suite C
Humble, TX 77338

Crown to Repair a Large Silver Filling

There are many reasons for needing a crown including a large failing filling and cracks extending through the enamel and into the middle of the tooth.

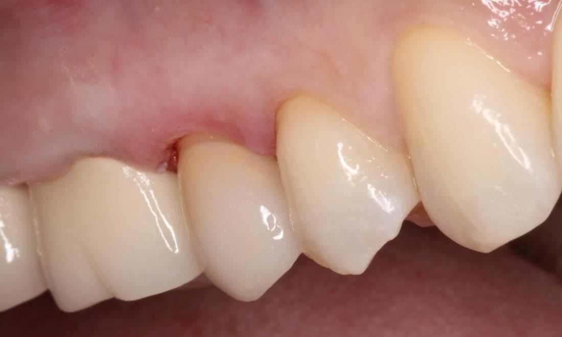
This patient started with a very large silver (amalgam) filling on their upper premolar. The silver color was causing the tooth to appear grey. It also had large cracks extending under the silver filling. 

We first removed the silver filling and built the tooth back up to normal size using a tooth colored filling material. This can work well for a short time, however due to the crack we were concerned about the tooth breaking over time. 

On a second visit we prepared the tooth for a crown and made an impression to send to our laboratory. The patient went home with a temporary crown that they were able to chew on like normal. 

On our last visit we removed the temporary crown, cleaned and disinfected the tooth, then bonded an all ceramic crown to the tooth to improve both the esthetics and the strength of the tooth. 

Contact us today to schedule your appointment!

Service Performed By:

Robert Appel, DMD
Yukie
Getting an appointment is fast and easy!
If you have difficulty using our website, please email us or call us at (281) 446-2362