Humble Dentistry
80 Wilson Road, Suite C
Humble, TX 77338

Tooth Colored Fillings

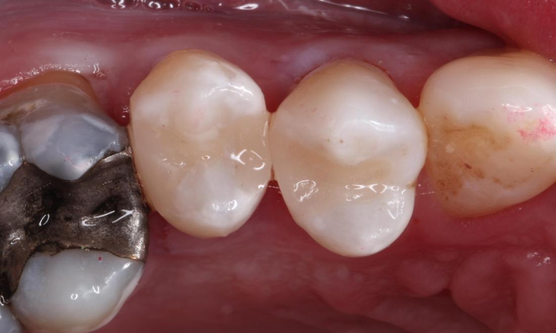
Sensitivity to hot, cold, and sweet can all be signs of a tooth decay. The decay could be under an existing filling or crown, or it could be a new cavity between two teeth. This patient one new cavity that had grown to the point of trapping food between the teeth. They also had decay forming under an existing silver filling. 

We used a rubber dam to protect the lips, cheeks, gums, and prevent the patient from swallowing dental tools. Wedges were used to separate the teeth and further protect the gum tissue. 

Then we removed the decay and existing filling. The decay and silver caused stain to the inside of the teeth. The teeth were then disinfected and restored to normal color and function with direct composite resin. 

Great home care and routine preventative checkups can help this fillings last for many years. 

Contact us today to schedule your appointment!

Service Performed By:

Robert Appel, DMD
Still need an appointment?
If you have difficulty using our website, please email us or call us at (281) 446-2362