Humble Dentistry
80 Wilson Road, Suite C
Humble, TX 77338

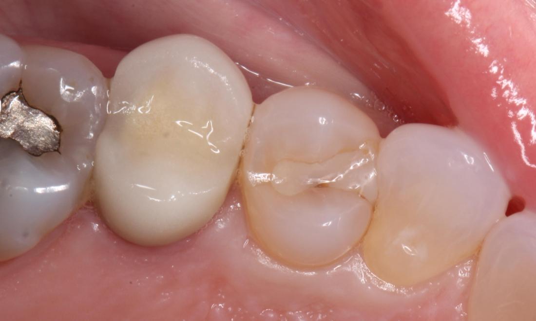
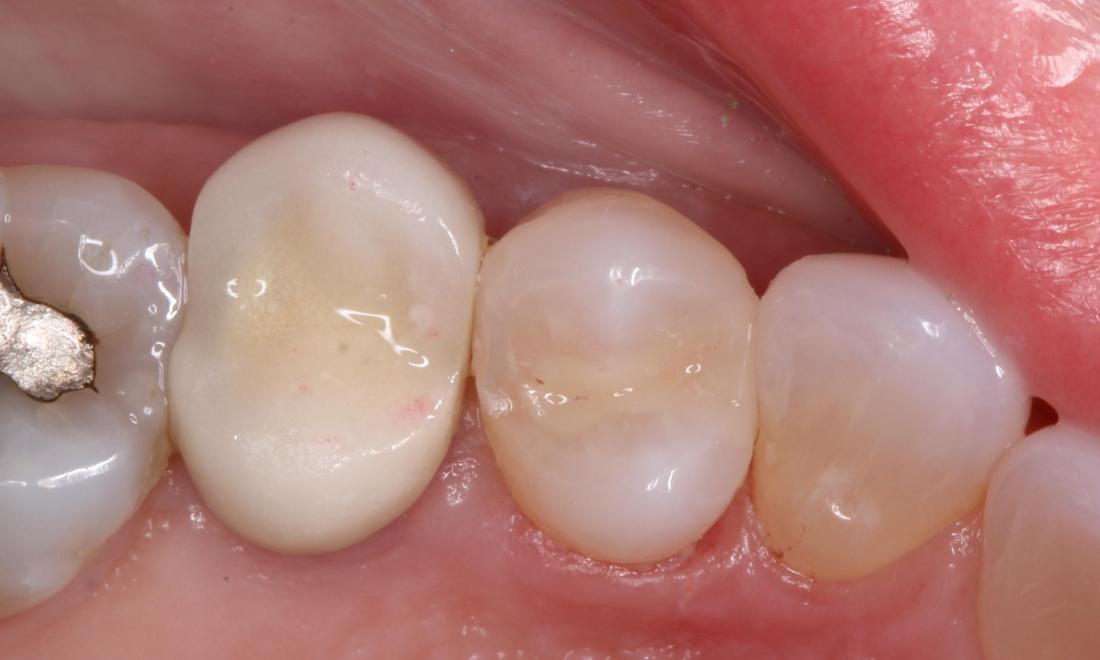
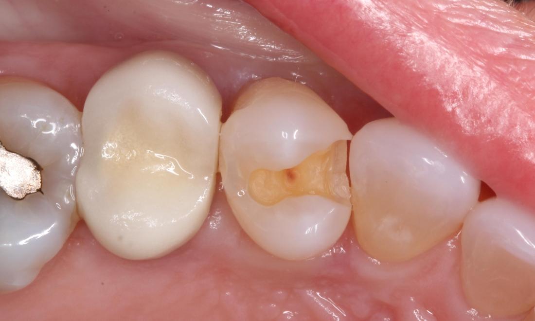
Decay under tooth colored filling

This patient came in for a checkup and we noticed there was an open space with decay around an old filling. We were able to remove the previous filling and the decay, then repair the tooth with a new tooth colored filling that blends in naturally.

Service Performed By:

Robert Appel, DMD
Have Questions? Get in Touch
If you have difficulty using our website, please email us or call us at (281) 446-2362