Humble Dentistry
80 Wilson Road, Suite C
Humble, TX 77338

Dental Implant Bridge from Start to Finish

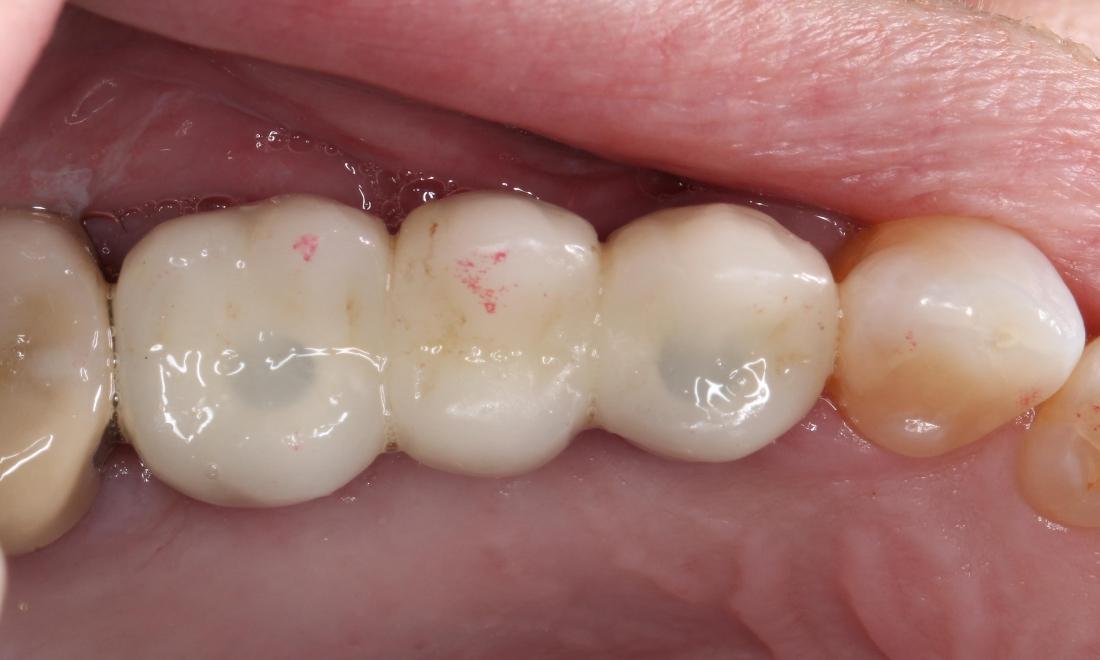
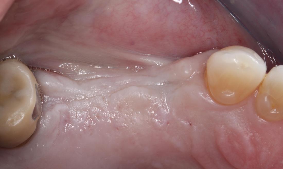
Our patient had a previous tooth supported bridge that failed. We decided to replace the failed bridge and missing teeth with an implant supported bridge. First, we removed the roots of the decayed teeth and placed a bone graft. Once the bone graft healed, we were able to place two dental implants to replace the missing tooth roots. The dental implants healed underneath the gum tissue for several months. Once the dental implants were healed (integrated), we uncovered them and placed a temporary implant supported bridge. The temporary implant supported bridge helped shape the gum tissue around the implants and acted like a prototype for the final bridge. Once in place, the final implant supported bridge offers a strong, long term solution that replaces the missing teeth and does not need to be removed at night. The final bridge should last a lifetime as long as our patient continues to maintain excellent home care and has routine checkups.

Service Performed By:

Robert Appel, DMD
Yukie
Getting an appointment is fast and easy!
If you have difficulty using our website, please email us or call us at (281) 446-2362