Humble Dentistry
80 Wilson Road, Suite C
Humble, TX 77338

Before & After: Direct Composite Veneer to Repair Chipped Teeth

Experiencing a chipped front tooth can be a distressing ordeal. Beyond the immediate pain and discomfort, the lingering question remains: “Will my smile ever look the same again?” Fortunately, advancements in modern materials and digital technology enable us to restore teeth to their natural appearance seamlessly.

The Challenge

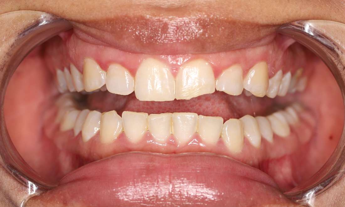
Our patient had an unfortunate accident, tripping on a sidewalk and chipping two of her front teeth. Thankfully, neither tooth required root canals. However, they had been previously repaired with filling material, which chipped again over time. The additional challenge was achieving a natural look due to the unique color and characterization of her surrounding teeth.

The Treatment Plan

To address her concerns and restore her smile, we developed a comprehensive plan:

  1. Gum Treatment: Improve the health of her gums and the bone supporting her teeth.

  2. Tooth Whitening: Even out the color variation of her teeth.

  3. Direct Composite Veneers: Restore the two upper left front teeth using a digital smile design.

  4. Edge Smoothing: Minimize pressure on the new composite veneers by adjusting the edges of the lower teeth.

Step-by-Step Process

1. Gum Treatment

The first step was to address the health of her gums. Following treatment, she noticed less redness and bleeding, ensuring a solid foundation for the upcoming procedures.

2. Tooth Whitening

Using our 3Shape Trios intraoral scanner, we created a 3D model of her teeth to produce custom whitening trays. She wore these trays nightly for several weeks until she was satisfied with the even and bright color of her teeth.

3. Digital Smile Design

To achieve a harmonious and natural appearance, we used digital smile design software to mirror the shape of her healthy teeth on the right side. This design was 3D-printed and used to create a template for transferring the design to her chipped teeth.

4. Direct Composite Veneers

The chipped teeth were lightly prepared to enhance the bonding process. We applied multiple layers of composite resin in different shades to replicate the shape, color, and intricate details of her natural teeth. This meticulous layering ensured a lifelike result.

5. Bite Adjustment

Finally, we made minor adjustments to the opposing teeth to reduce biting pressure on the new veneers, ensuring their durability.

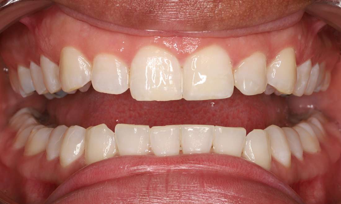
The Results

After the procedure, the patient’s smile was fully restored. The natural look and feel of her new veneers left her delighted and confident once again.


Do You Have a Chipped Tooth?

If you’re dealing with a chipped tooth and want to explore your options, contact our practice today. Direct composite veneers may be the ideal solution to restore your smile and confidence.

Service Performed By:

Robert Appel, DMD
Getting an appointment is fast and easy!
If you have difficulty using our website, please email us or call us at (281) 446-2362