Humble Dentistry
80 Wilson Road, Suite C
Humble, TX 77338

Replacing a Missing Molar with a Dental Implant

If you’re missing a tooth, a dental implant can be one of the best ways to restore your smile and confidence. Dental implants are designed to look, feel, and function like a natural tooth. The implant itself is a small titanium post that replaces the root of your missing tooth. Once it has healed, a custom crown is attached to complete your smile, giving you the function and appearance of a natural tooth. 

Why Choose a Dental Implant? 

A successful dental implant does more than fill a gap in your smile — it restores your ability to chew, speak, and smile with confidence. Here are the essential steps to ensuring a great outcome: 

  • Personalized Planning: Every treatment begins with an assessment of your health, 3D x-ray of your jaw, and a discussion with Dr. Appel of your unique needs and goals.
  • Precise Placement: Implants must be carefully positioned for long-term success. 
  • Strong Healing Foundation: Your jawbone integrates directly with the implant for stability. 
  • Natural Look: The gum tissue around the implant is contoured to blend seamlessly with your other teeth. 
  • Beautiful, Custom Crown: The final crown id designed to match your smile perfectly. 

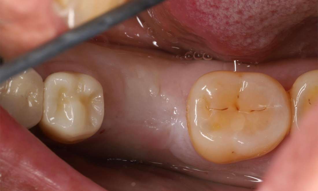
One Patient’s Journey to Replace a Lower Left Molar

One of our patients came to us with a lower left molar that had a failing root canal and decay. After discussing the options, we decided the best solution was to replace the tooth with a dental implant. 

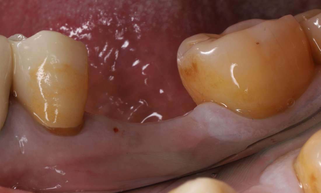
First, we carefully removed the tooth and placed a bone graft to prepare the area for the implant. After allowing approximately three months time for bone healing, we used advanced tools including a 3D X-ray system and an intra-oral scanner to carefully plan the position of the dental implant. Using this plan, we created a 3D printed surgical guide to place the implant precisely where it needed to be — ensuring safety and optimal support for the future crown. 

The Final Steps to a New Tooth

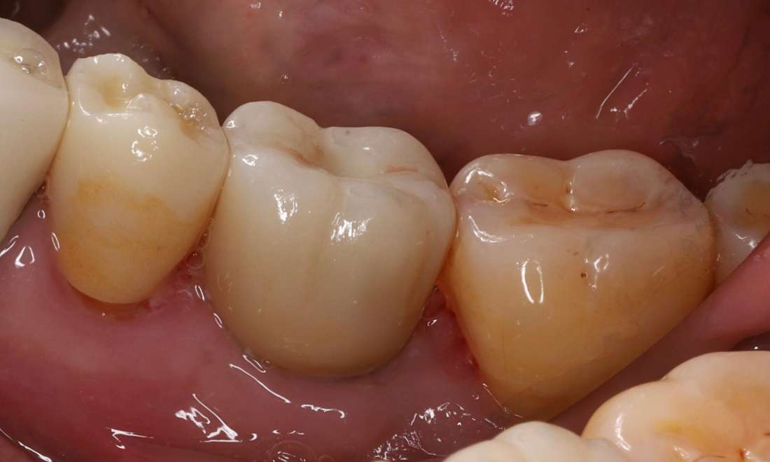
After three months of healing, the dental implant was ready for the final restoration. We designed a custom titanium abutment and a tooth-colored zirconia crown that blended naturally with the rest of the smile. To protect the new tooth from potential damage caused by clenching or grinding, we also created a 3D-printed nightguard for added peace of mind. 

Thanks to dental implants, this patient now has a strong, beautiful tooth replacement that looks and filled like the real thing. If you’re ready to restore your smile and confidence, we are here to help every step of the way. 

Service Performed By:

Robert Appel, DMD
Ready to book an appointment?
If you have difficulty using our website, please email us or call us at (281) 446-2362