Humble Dentistry
80 Wilson Road, Suite C
Humble, TX 77338

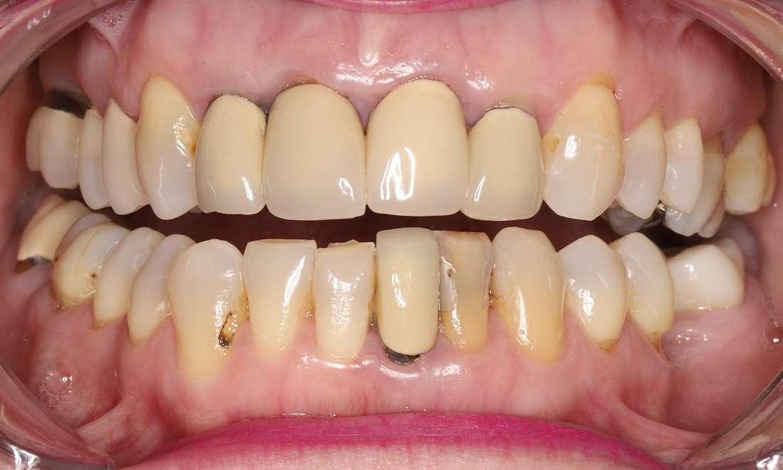
Five Lower Front Crowns

This patient was unhappy with the uneven edges of her lower front teeth. She also did not like the differences in color between her natural teeth, an existing crown, and root canal treated teeth with fillings. 

This was a challenging case because thee existing root canals were causing discoloration of the remaining tooth structure. Sometimes the discolored roots can show through the restorations. 

Comprehensive Dental Restoration

We worked with our endodontist at Humble Dentist in Humble, TX to redo the root canals and ensure a solid foundation for new crowns.

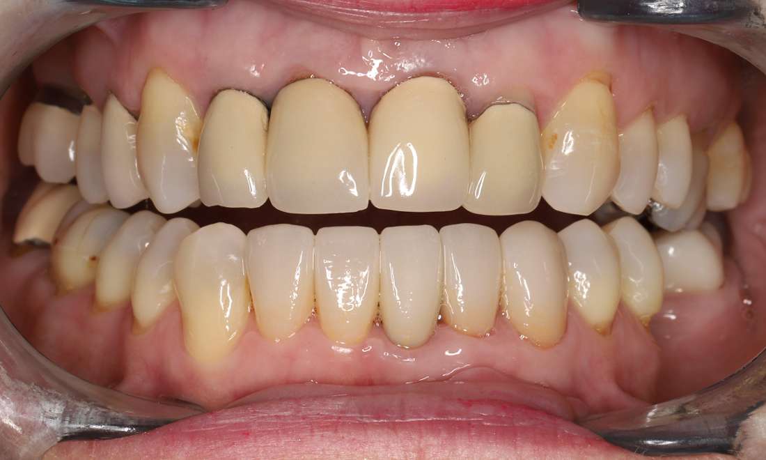
After redoing the root canals, we removed the previous crown, fillings, and prepared space for new crowns on five lower front teeth. The patient's goal was a natural appearance, so we worked with our laboratory (Midwest Dental Arts) to design all ceramic crowns that blend in with the rest of her teeth. 

The patient was very happy with the outcome and is looking forward to improving the appearance of her upper front teeth next. 

Humble Dentist provides general dentistry and dental crowns in Humble, TX. Book an appointment with today to discuss your dental goals.

Service Performed By:

Robert Appel, DMD
Getting an appointment is fast and easy!
If you have difficulty using our website, please email us or call us at (281) 446-2362