Humble Dentistry
80 Wilson Road, Suite C
Humble, TX 77338

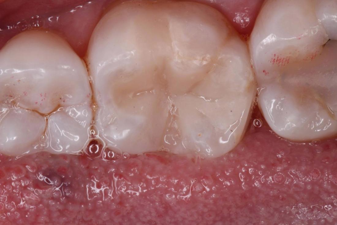
Worn Out Filling

Our patient flew in from out of town to have this filling replaced. The edges of the filling were starting to leak, allowing bacteria to damage the tooth underneath the filling. A dental dam was used to isolate the teeth. We removed the old filling and replaced it with a new tooth colored filling.
Still need an appointment?
If you have difficulty using our website, please email us or call us at (281) 446-2362
Privacy Policy