Humble Dentistry
80 Wilson Road, Suite C
Humble, TX 77338

Tooth Colored Filling Replacement on Back Teeth

Tooth colored fillings on back teeth are one of the most common procedures completed by general dentists, yet they can be very technique sensitive. Some of the challenges can include:

  • Poorly contoured tooth colored fillings can trap food and plaque in between the teeth leading to new cavities or gum problems
  • Inadequate isolation can cause contamination of the tooth by saliva or bacteria which can interfere with the bond between the filling material and the tooth
  • Improperly followed bonding instructions may prevent adequate sealing of the filling material to the tooth

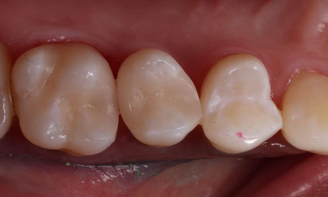
Our patient presented with a food trap between their teeth causing new decay under their existing tooth colored fillings. We also discovered the "bond" or adhesive between the filling and the tooth had failed, allowing saliva and bacteria to leak under the old fillings. 

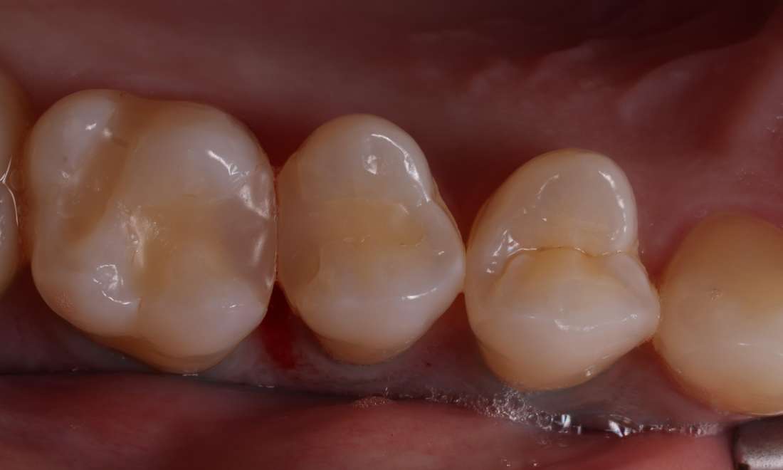
We isolated the teeth using a blue rubber dam material to prevent contamination, then removed the old filling material and all the decay. We then placed new filling material on the molar and second premolar, while also placing a sealant on the first premolar. After placing the filling material we polished and contoured the new fillings to minimize the risk of food or plaque trapping between the teeth. This will allow the patient to floss and clean between the teeth. 

Service Performed By:

Robert Appel, DMD
Yukie
Getting an appointment is fast and easy!
If you have difficulty using our website, please email us or call us at (281) 446-2362
Privacy Policy