Smile Gallery: Dental Crowns and Bridges
Whether you’re looking to repair a chipped tooth with composite bonding, replace missing teeth with dental implants, or achieve a brighter smile through professional whitening, our gallery highlights the clinical excellence and personalized care Dr. Robert Appel provides. Explore our successful cases below to see how modern restorative and cosmetic dentistry can enhance both your oral health and your confidence.
If you’re missing a tooth, a dental implant can be one of the best ways to restore your smile and confidence. Dental implants are designed to look, feel, and function like a natural tooth. The implant itself is a small titanium post that replaces the root of your missing tooth. Once it has healed, a custom crown is attached to complete your smile, giving you the function and appearance of a natural tooth.
Why Choose a Dental Implant?
A successful dental implant does more than fill a gap in your smile — it restores your ability to chew, speak, and smile with ...
Before visiting our practice, this patient had undergone "instant orthodontics" with a single crown on her front tooth in an attempt to correct the alignment of her teeth. While the color match of the crown was pleasing, a significant amount of tooth structure had been removed. Additionally, the adjacent and opposing teeth remained misaligned, and the gum levels were uneven.
Eventually, the original crown debonded and fell out. At that point, we discussed using ClearCorrect aligners to improve the alignment of all the teeth, level the gum tissue, and even out the edges of the teeth. We ...
Dental anxiety prevented this wonderful patient from seeking our help until her pain was unbearable. Her anxiety was addressed with a combination of oral sedation, nitrous oxide, and our caring team focused on addressing her needs in a calm, comfortable environment.
Over several well-planned visits, we were able to remove hopeless teeth, complete initial gum disease treatment, complete root canals on teeth with pain and infection, and then make long term 3D printed temporary crowns and bridges to test out her newly established bite. Missing teeth on the lower arch will be replaced with dental implants in the future.
After several ...
This patient was unhappy with the uneven edges of her lower front teeth. She also did not like the differences in color between her natural teeth, an existing crown, and root canal treated teeth with fillings.
This was a challenging case because thee existing root canals were causing discoloration of the remaining tooth structure. Sometimes the discolored roots can show through the restorations.
Comprehensive Dental Restoration
We worked with our endodontist at Humble Dentist in Humble, TX to redo the root canals and ensure a solid foundation for new crowns.
After redoing the root canals, we removed the previous crown, fillings, and ...
Comprehensive dentistry is an approach to oral health that focuses on addressing your overall dental needs instead of treating a single tooth problem. The purpose is to develop a personalized plan that considers your unique dental history, current dental health status, and long-term dental goals. The plan may include preventive care, restorative procedures, orthodontic treatment, oral surgery, and or cosmetic procedures to improve health, function, and appearance.
This patient came to us because she was tired of seeing a different doctor every time she went to her previous dental office and wanted a long-term plan to improve her overall dental health. ...
Our patient was looking to rejuvenate his smile after many years of fillings, wear, and chipping of his front teeth. Our challenge was to match new crowns and veneers to an existing bridge.
We started by making a 3D printed digital prototype to simulate the final desired outcome. Then based on the 3D digital prototype, we reshaped and rebuilt the lower front teeth with direct composite veneers This created the space we needed to make crowns and veneers on the upper front teeth. The top and bottom teeth need to work together in harmony and frequently cosmetic treatment on the top ...
3D printing is relatively new in dentistry, but it has opened doors for patients that may not have otherwise been able to afford care. We now have the ability to 3D print dentures, nightguards, models, implant surgical guides, and in certain situations crowns.
This patient came to us because she was unhappy with the existing composite bonding and was looking for a solution that would not break the bank. We went through the process of making a digital smile design that allowed her to visualize the potential outcome before we started working on the teeth.
We used the digital smile design as ...
Many years ago porcelain fused to metal (PFM) crowns were the only cosmetic crown option available. PFM can be a very successful crown option, but one of the problems with them is the appearance of a dark line where the crown meets the tooth. The dark line can be due to metal showing, from a lack of translucency (light can’t pass through the metal), or from new decay along the edge of the crown.
Our patient had porcelain to metal crowns on his two front teeth and didn’t like the dark appearance where the crowns were meeting his teeth. He also ...
Many patients have large silver (amalgam) fillings and they may last for many years or decades. Several things can happen to silver fillings over time though, including:
- Staining or discoloration of the healthy surrounding tooth structure
- Corrosion leading to leaking margins
- Decay along the leaking margins or under the silver filling
- Cracks in the healthy surrounding tooth structure
- Chipping, cracks, or even loss of the silver filling itself
This patient had a large silver filling that was more than half of the chewing surface of the tooth and had a leaking margin with decay underneath the filling. After discussing the options we opted for a tooth ...
Sometimes accidents happen :( Our patient was hit in the mouth while at work and fractured two natural teeth and a crown. We completed a root canal on tooth #8 because the nerve was exposed. Then we prepared tooth #8 and 9 for crowns. The chip on the edge of tooth #10 was small and easily repaired with composite filling material. The final crowns were cemented and adjusted to fit perfectly with the opposing teeth. We were thrilled to be able to restore the teeth to a beautiful, natural smile!
Contact us today to schedule your appointment!
It can be scary to lose a front tooth! Thankfully dental implants can offer an excellent solution to replace a single tooth without harming the adjacent teeth.
For our patient, a dental implant replaced the root of the missing tooth and the bone of the jaw healed around it. Sometimes we are able to make an immediate temporary crown or a temporary replacement option, but our patient opted to go without any replacement while the implant healed. After the implant healed we were able to create a custom crown to blend in naturally with the other teeth.
The implantwas placed into the ...
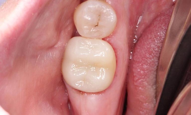
Our patient had a previous tooth supported bridge that failed. We decided to replace the failed bridge and missing teeth with an implant supported bridge. First, we removed the roots of the decayed teeth and placed a bone graft. Once the bone graft healed, we were able to place two dental implants to replace the missing tooth roots. The dental implants healed underneath the gum tissue for several months. Once the dental implants were healed (integrated), we uncovered them and placed a temporary implant supported bridge. The temporary implant supported bridge helped shape the gum tissue around the implants and ...