Smile Gallery: General Dentistry
We are proud of the beautiful, long-lasting dentistry we create to improve the beauty and comfort of our patients' smiles. Take a moment to see what is possible by browsing our before-and-after photos below.




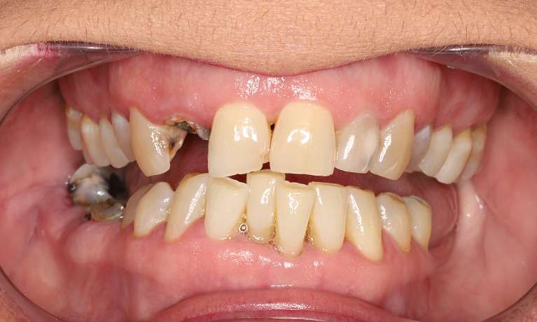
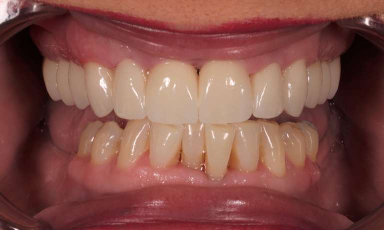
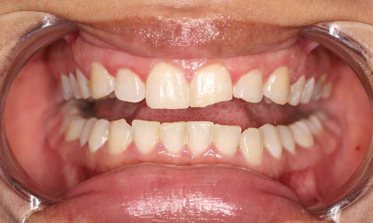
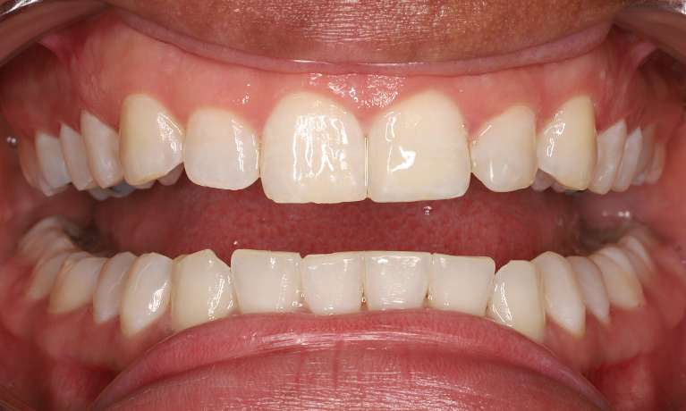
Dental anxiety prevented this wonderful patient from seeking our help until her pain was unbearable. Her anxiety was addressed with a combination of oral sedation, nitrous oxide, and our caring team focused on addressing her needs in a calm, comfortable environment.
Over several well-planned visits, we were able to remove hopeless teeth, complete initial gum disease treatment, complete root canals on teeth with pain and infection, and then make long term 3D printed temporary crowns and bridges to test out her newly established bite. Missing teeth on the lower arch will be replaced with dental implants in the future.
After several ...




Our patient desired a subtle, minimally invasive cosmetic improvement in her smile. She specifically didn’t like how some of her front teeth were rotated, the gums were uneven, the edges of the teeth were worn, and overall wanted a brighter color.
To help her meet her goals we recommended:
Aligners
Bleaching
Composite Bonding
To start, we used our 3Shape Trios intra-oral scanner to create a digital model of her mouth, then worked with Clear Correct to design a series of clear aligners to move the teeth and gums into ...




Our patient is planning his wedding later in the year and wanted to make his smile picture perfect. We discussed his smile goals and formulated a three-step plan:
- Aligners to improve tooth position in coordination with our orthodontic partner
- Bleaching to improve the overall tooth color
- Direct composite veneers to repair the worn edges and improve the shape of his teeth
His orthodontic treatment took about 12 months in coordination with the orthodontist using Invisalign. During the orthodontic treatment he periodically used Opalescence gel within the aligner trays to improve his tooth color. We ...




Experiencing a chipped front tooth can be a distressing ordeal. Beyond the immediate pain and discomfort, the lingering question remains: “Will my smile ever look the same again?” Fortunately, advancements in modern materials and digital technology enable us to restore teeth to their natural appearance seamlessly.
The Challenge
Our patient had an unfortunate accident, tripping on a sidewalk and chipping two of her front teeth. Thankfully, neither tooth required root canals. However, they had been previously repaired with filling material, which chipped again over time. The additional challenge was achieving a natural look ...




Before visiting our practice, this patient had undergone "instant orthodontics" with a single crown on her front tooth in an attempt to correct the alignment of her teeth. While the color match of the crown was pleasing, a significant amount of tooth structure had been removed. Additionally, the adjacent and opposing teeth remained misaligned, and the gum levels were uneven.
Eventually, the original crown debonded and fell out. At that point, we discussed using ClearCorrect aligners to improve the alignment of all the teeth, level the gum tissue, and even out the edges of the teeth. We ...




If you’re missing a tooth, a dental implant can be one of the best ways to restore your smile and confidence. Dental implants are designed to look, feel, and function like a natural tooth. The implant itself is a small titanium post that replaces the root of your missing tooth. Once it has healed, a custom crown is attached to complete your smile, giving you the function and appearance of a natural tooth.
Why Choose a Dental Implant?
A successful dental implant does more than fill a gap in your smile — it restores your ability to chew, speak, and smile with ...




This patient was unhappy with the uneven edges of her lower front teeth. She also did not like the differences in color between her natural teeth, an existing crown, and root canal treated teeth with fillings.
This was a challenging case because thee existing root canals were causing discoloration of the remaining tooth structure. Sometimes the discolored roots can show through the restorations.
Comprehensive Dental Restoration
We worked with our endodontist at Humble Dentist in Humble, TX to redo the root canals and ensure a solid foundation for new crowns.
After redoing the root canals, we removed the previous crown, fillings, and ...




Outside of trauma, gaps in the smile can occur for a variety of reasons. Sometimes it's because the jaw grew too big and now your teeth aren't able to fill all of the gaps. Other times it's because your teeth developed too small, so there are large gaps. It could even be a combination of the two.
To correct the gaps:
- Orthodontics can be used to change the position of the teeth and the shape of the jaw
- Composite bonding or ceramic veneers can change the shape of the teeth
- A combination of both can be used
Our patient came in wanting to eliminate the ...




Comprehensive dentistry is an approach to oral health that focuses on addressing your overall dental needs instead of treating a single tooth problem. The purpose is to develop a personalized plan that considers your unique dental history, current dental health status, and long-term dental goals. The plan may include preventive care, restorative procedures, orthodontic treatment, oral surgery, and or cosmetic procedures to improve health, function, and appearance.
This patient came to us because she was tired of seeing a different doctor every time she went to her previous dental office and wanted a long-term plan to improve her overall dental health. ...




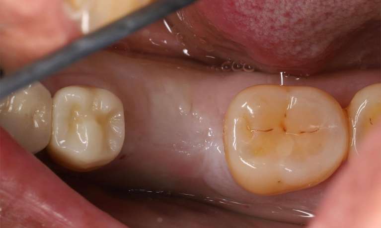
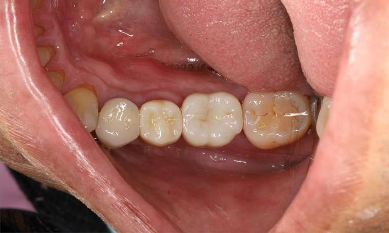
We often get the question, why do my fillings need replacement? Unfortunately, dental fillings, like other tooth restorations, don't last forever and tend to wear and break down over time. When this happens, it allows bacteria back into the tooth, which can result in more damage.
For example, this patient had multiple fillings failing in different ways:
1. Broken filling on the second molar with decay underneath




Our patient was looking to rejuvenate his smile after many years of fillings, wear, and chipping of his front teeth. Our challenge was to match new crowns and veneers to an existing bridge.
We started by making a 3D printed digital prototype to simulate the final desired outcome. Then based on the 3D digital prototype, we reshaped and rebuilt the lower front teeth with direct composite veneers This created the space we needed to make crowns and veneers on the upper front teeth. The top and bottom teeth need to work together in harmony and frequently cosmetic treatment on the top ...


Our patient had orthodontic treatment with a different provider several years ago. During that orthodontic treatment, the lower front teeth were recontoured. Unfortunately, the teeth were not properly smoothed after recontouring and a retainer was never provided. This resulted in the teeth moving back to their original position and the irregular contours trapped food leading to gum issues and cavities between the teeth.
We removed decay, properly polished and recontoured all the contacts, then closed the spaces with direct composite resin. We then smoothed and polished the composite filling material to minimize risk of future food impaction.




Tooth colored fillings on back teeth are one of the most common procedures completed by general dentists, yet they can be very technique sensitive. Some of the challenges can include:
- Poorly contoured tooth colored fillings can trap food and plaque in between the teeth leading to new cavities or gum problems
- Inadequate isolation can cause contamination of the tooth by saliva or bacteria which can interfere with the bond between the filling material and the tooth
- Improperly followed bonding instructions may prevent adequate sealing of the filling material to the tooth
Our patient presented with a food trap between their teeth causing new decay ...


Our patient had a small gap between her front teeth. She had orthodontic treatment in the past, but didn't wear her retainer and the teeth moved. We discussed the options of direct tooth colored filling material to close the space versus Clear Correct (clear aligners) orthodontics to close the space. She ultimately opted for Clear Correct orthodontics to close the space because it didn't require any shaving down of the teeth. A bonded (glued on) retainer was placed on the back side of the teeth to hold them in the desired position at the end of treatment. The outcome was ...




3D printing is relatively new in dentistry, but it has opened doors for patients that may not have otherwise been able to afford care. We now have the ability to 3D print dentures, nightguards, models, implant surgical guides, and in certain situations crowns.
This patient came to us because she was unhappy with the existing composite bonding and was looking for a solution that would not break the bank. We went through the process of making a digital smile design that allowed her to visualize the potential outcome before we started working on the teeth.
We used the digital smile design as ...




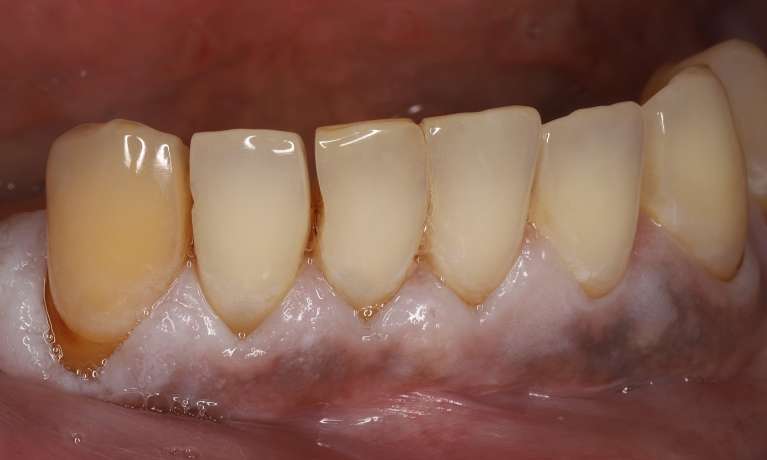
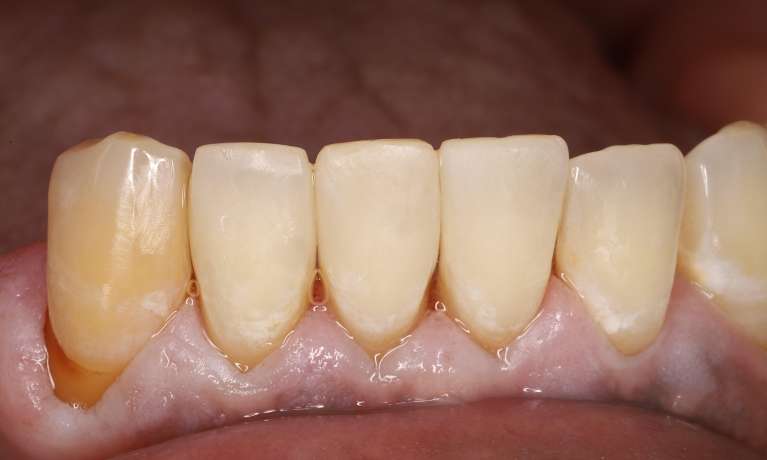
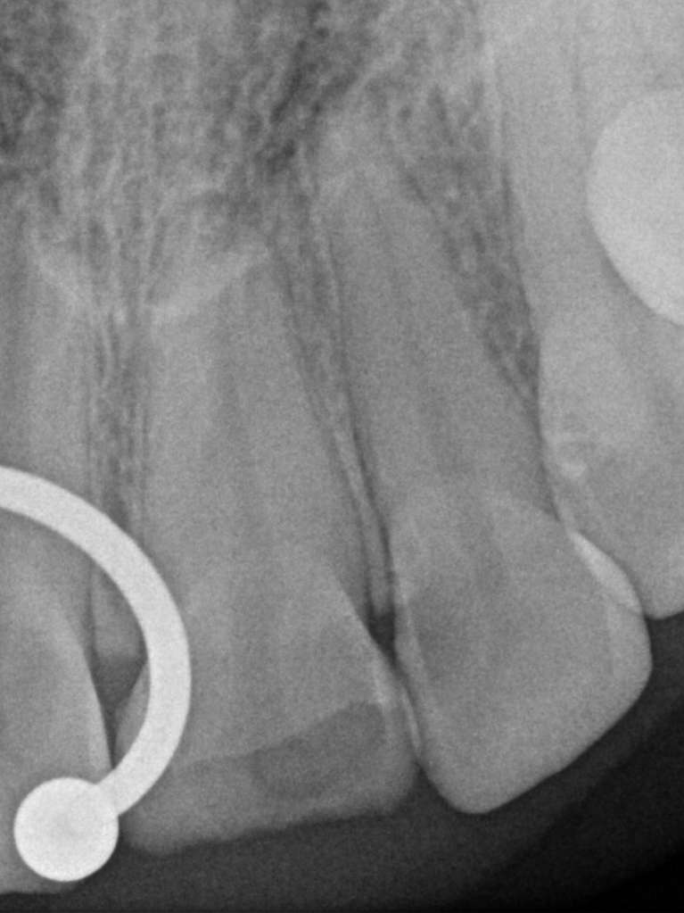
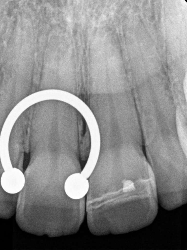
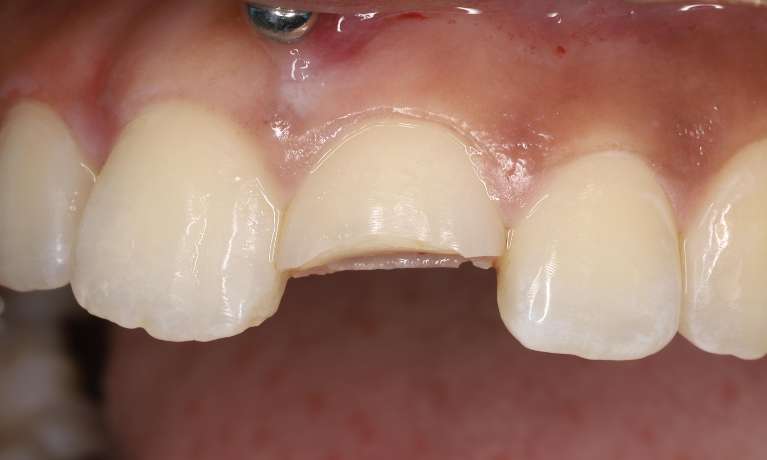
A long term patient of our practice broke the crown off an endodontically treated tooth and unfortunately the tooth was non-restorable.
We were able to place a dental implant at the same time we removed the tooth (immediate dental implant). After four months of healing we made a temporary crown to create an ideal shape to the gums around the implant. Shaping the gum tissue helps to minimize getting food trapped around the implant and guides the laboratory on how to shape the final crown.
The final restoration was custom ceramic crown fitted to a custom gold-hue titanium abutment. The final photos ...


Our patient initially came in with tooth wear and acid erosion on her front two teeth. We discussed the treatment options and decided to use a direct composite veneer to improve the length of the teeth while also repairing the damage from tooth wear and acid erosion.




Trauma to a tooth can be uncomfortable and embarrassing, especially when it’s a front tooth. The good news is that many chipped or fractured teeth can be repaired. Success of the repair depends on how quickly you see your dentist, the severity of the trauma, and the age of the patient.
This patient fractured their front tooth the night before and kept the fragment in milk. This type of fracture is called an Ellis type III, meaning there is damage to the enamel, dentin, and the pulp (nerve tissue) is exposed. Ideally this type of fracture needs to be repaired within ...




This new patient was getting ready for her senior pictures and came to us with a chipped front tooth. The fracture included the hard outside enamel and the softer dentin on the inside of the tooth, but thankfully the nerve was not exposed and there was no pain.
We scanned her teeth with our 3Shape Trios scanner to create a digital model of her mouth. We then sent the scans to our lab partners at Keating Dental Lab. They were able to digitally repair the broken tooth by making a mirror image copy of the unbroken adjacent tooth. Keating ...


We offer three different levels of professional tooth whitening in our practice including:
- In-office whitening with Opalescence Boost (40% strength)
- Custom take-home whitening trays with Opalescence (range of strength from 10-35%)
- Pre-loaded Opalescence Go whitening trays (10-15% strengths)
Most whitening products will improve the color of the teeth. The stronger the concentration of the whitening product, the faster the results, but also the higher the risk of sensitivity.
For this patient we used a 20% strength Opalescence gel in a custom take-home whitening tray. This offered a good balance between the risk of sensitivity and the desired color improvement, while also protecting the gums from ...


Many years ago porcelain fused to metal (PFM) crowns were the only cosmetic crown option available. PFM can be a very successful crown option, but one of the problems with them is the appearance of a dark line where the crown meets the tooth. The dark line can be due to metal showing, from a lack of translucency (light can’t pass through the metal), or from new decay along the edge of the crown.
Our patient had porcelain to metal crowns on his two front teeth and didn’t like the dark appearance where the crowns were meeting his teeth. He also ...



Many patients have large silver (amalgam) fillings and they may last for many years or decades. Several things can happen to silver fillings over time though, including:
- Staining or discoloration of the healthy surrounding tooth structure
- Corrosion leading to leaking margins
- Decay along the leaking margins or under the silver filling
- Cracks in the healthy surrounding tooth structure
- Chipping, cracks, or even loss of the silver filling itself
This patient had a large silver filling that was more than half of the chewing surface of the tooth and had a leaking margin with decay underneath the filling. After discussing the options we opted for a tooth ...


We are always excited to help patients restore the confidence in their smile. This patient had several large cavities that were causing discoloration of the teeth, were sensitive to cold and sweets, and were making it difficult to keep the teeth clean.
In one visit, we were able to remove all the decay on five upper front teeth and one lower front tooth. We then used a tooth colored filling material to replace the missing tooth structure, close the space between the front teeth, and restore the smile.
If you would like tooth colored fillings to fix spacing between teeth ...
Sometimes accidents happen :( Our patient was hit in the mouth while at work and fractured two natural teeth and a crown. We completed a root canal on tooth #8 because the nerve was exposed. Then we prepared tooth #8 and 9 for crowns. The chip on the edge of tooth #10 was small and easily repaired with composite filling material. The final crowns were cemented and adjusted to fit perfectly with the opposing teeth. We were thrilled to be able to restore the teeth to a beautiful, natural smile!
Contact us today to schedule your appointment!


No need to feel embarrassed about a chipped tooth, we can help fix that. A previous injury to our patient's tooth was repaired with a direct composite tooth colored veneer. Unfortunately, over time the veneer chipped and a cavity developed.
We removed the decay and the previous veneers. Then sculpted two new direct composite veneers to blend in naturally with our patient's smile.
Contact us today to schedule your appointment!




Sometimes the best replacement is with the natural tooth. Our patient accidentally broke his front two teeth (#8 and #9). Luckily, he kept the broken fragments and brought them to his emergency dental appointment. We were able to complete a root canal on tooth #8 because the nerve was exposed. Tooth #9 didn’t have a nerve exposure, so it did not need a root canal at this time. We carefully cleaned the teeth and the broken fragments. Then we reattached the broken portions with tooth colored filling material. We adjusted the teeth to minimize pressure on them when chewing, then ...


It can be scary to lose a front tooth! Thankfully dental implants can offer an excellent solution to replace a single tooth without harming the adjacent teeth.
For our patient, a dental implant replaced the root of the missing tooth and the bone of the jaw healed around it. Sometimes we are able to make an immediate temporary crown or a temporary replacement option, but our patient opted to go without any replacement while the implant healed. After the implant healed we were able to create a custom crown to blend in naturally with the other teeth.
The implantwas placed into the ...




This patient initially came in looking for a more cosmetic option to replace their silver (amalgam) fillings. After a comprehensive exam and evaluation we discovered decay under several of the silver fillings, but not all. Silver (amalgam) fillings can be an excellent treatment option and last a very long time, but replacing them simply because they are not tooth colored is not something we typically do. We know all fillings eventually need replacement, so we encourage getting the most out of the existing fillings if possible.
For this patient, we discussed the pros and cons of replacing all three silver fillings ...


Discolored, stained, and decayed front teeth can be embarrassing, but thankfully we have many different ways to help restore your confidence and repair your teeth.
This patient had decay and discoloration close to the gum line with an older tooth colored filling that was discolored. We removed all the decay, white spots, and previous filling. Then repaired the front teeth with tooth colored filling material.
Contact us today to schedule your appointment!



Sensitivity to hot, cold, and sweet can all be signs of a tooth decay. The decay could be under an existing filling or crown, or it could be a new cavity between two teeth. This patient one new cavity that had grown to the point of trapping food between the teeth. They also had decay forming under an existing silver filling.
We used a rubber dam to protect the lips, cheeks, gums, and prevent the patient from swallowing dental tools. Wedges were used to separate the teeth and further protect the gum tissue.
Then we removed the decay and existing filling. The ...




There are many reasons for needing a crown including a large failing filling and cracks extending through the enamel and into the middle of the tooth.
This patient started with a very large silver (amalgam) filling on their upper premolar. The silver color was causing the tooth to appear grey. It also had large cracks extending under the silver filling.
We first removed the silver filling and built the tooth back up to normal size using a tooth colored filling material. This can work well for a short time, however due to the crack we were concerned about the tooth breaking over ...


One of our adult patients noticed she was frequently getting food caught on the chewing surfaces of several molars and was worried about getting a cavity on her teeth. We recommended a sealant to help protect the pits and grooves of her molars and prevent her from developing a cavity.
No anesthetic was required and the procedure took less than 10 minutes at a routine checkup and professional cleaning.
While Dr. Appel applied the sealants for this patient, all of our clinical staff are trained to provide quality, long lasting sealants that can minimize the risk of developing a cavity in the ...




Our patient had a previous tooth supported bridge that failed. We decided to replace the failed bridge and missing teeth with an implant supported bridge. First, we removed the roots of the decayed teeth and placed a bone graft. Once the bone graft healed, we were able to place two dental implants to replace the missing tooth roots. The dental implants healed underneath the gum tissue for several months. Once the dental implants were healed (integrated), we uncovered them and placed a temporary implant supported bridge. The temporary implant supported bridge helped shape the gum tissue around the implants and ...











Our patient was concerned that her smile was not bright enough. After one session with our Opalescence Boost In-Office system we were able to give her the bright smile she was looking for!




Fantastic experience! Always up to the minute on new dental practices and technology. I was dreading the tooth extraction and dental implant. It wasn’t much worse than a teeth cleaning, in other word the apprehension was all for naught. And he can do procedures I previously had been referred out for. That’s a big plus in my book. I highly recommend Dr. Appel to anyone needing dental care.